
Exóstosis subungueal. Qué es, causas y cirugía
A menudo, acuden a consulta pacientes con dolor en la punta del “dedo gordo del pie” con varios meses de evolución, refiriendo no haber sufrido

A menudo, acuden a consulta pacientes con dolor en la punta del “dedo gordo del pie” con varios meses de evolución, refiriendo no haber sufrido

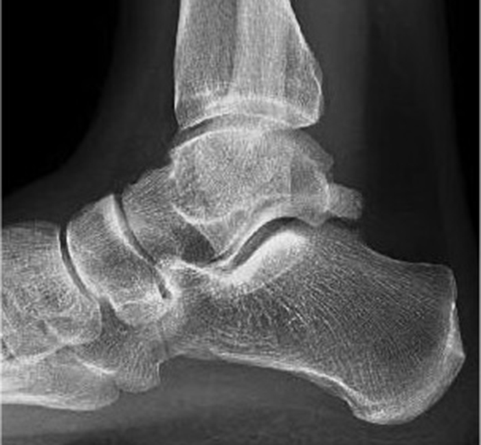
En la imagen mostramos una radiografía lateral en carga de un paciente con limitación a la flexión dorsal del tobillo. El paciente padece el síndrome…

Sin duda, las chancletas o chanclas (también conocidas como Flip Flop) son el calzado por excelencia en los meses de verano. Aunque todo el mundo en verano las lleve, ya sea por comodidad o para huir del calor, no significa que estemos utilizándolas de…

Podoactiva, empresa líder en podología y biomecánica, inauguró durante la tarde del pasado jueves una nueva clínica en Albacete, la primera en la ciudad manchega.

El fútbol no es solo cosa de chicos, prueba de ello es el gran número de seguidoras y jugadoras femeninas que hay en nuestro país. Según la RFEF hay…

Exóstosis subungueal. Qué es, causas y cirugía
A menudo, acuden a consulta pacientes con dolor en la punta del “dedo gordo del pie” con varios meses de evolución, refiriendo no haber sufrido

Pinzamiento de tobillo o impingement. Qué es, síntomas y tratamiento
En la imagen mostramos una radiografía lateral en carga de un paciente con limitación a la flexión dorsal del tobillo. El paciente padece el síndrome…

Andar con chanclas: Por qué usar chanclas es malo
Sin duda, las chancletas o chanclas (también conocidas como Flip Flop) son el calzado por excelencia en los meses de verano. Aunque todo el mundo en verano las lleve, ya sea por comodidad o para huir del calor, no significa que estemos utilizándolas de…

Podoactiva inaugura una nueva clínica en Albacete y continúa con su proceso de expansión
Podoactiva, empresa líder en podología y biomecánica, inauguró durante la tarde del pasado jueves una nueva clínica en Albacete, la primera en la ciudad manchega.

Lesiones de rodilla, ¿por qué son más comunes en el fútbol femenino?
El fútbol no es solo cosa de chicos, prueba de ello es el gran número de seguidoras y jugadoras femeninas que hay en nuestro país. Según la RFEF hay…
Buscar en el blog
Encuentra tu clínica Podoactiva más cercana
Artículo Destacado
REVISTA DE PODOACTIVA
Fondo Europeo de Desarrollo Regional
"Una manera de hacer Europa"
Fondo Europeo de Desarrollo Regional
"Una manera de hacer Europa"
| Cookie | Duración | Descripción |
|---|---|---|
| cookielawinfo-checkbox-analytics | 11 months | This cookie is set by GDPR Cookie Consent plugin. The cookie is used to store the user consent for the cookies in the category "Analytics". |
| cookielawinfo-checkbox-functional | 11 months | The cookie is set by GDPR cookie consent to record the user consent for the cookies in the category "Functional". |
| cookielawinfo-checkbox-necessary | 11 months | This cookie is set by GDPR Cookie Consent plugin. The cookies is used to store the user consent for the cookies in the category "Necessary". |
| cookielawinfo-checkbox-others | 11 months | This cookie is set by GDPR Cookie Consent plugin. The cookie is used to store the user consent for the cookies in the category "Other. |
| cookielawinfo-checkbox-performance | 11 months | This cookie is set by GDPR Cookie Consent plugin. The cookie is used to store the user consent for the cookies in the category "Performance". |
| viewed_cookie_policy | 11 months | The cookie is set by the GDPR Cookie Consent plugin and is used to store whether or not user has consented to the use of cookies. It does not store any personal data. |