Fascitis plantar. Conoce cómo prevenir y tratar esta inflamación del pie
07 Jun 2023La fascia plantar es una banda de tejido elástico situada entre el calcáneo (el talón) y la zona metatarsal (debajo de los dedos). La inflamación de dicha estructura es lo que conocemos como fascitis plantar. Pero… ¿qué es? ¿Cuáles son sus síntomas? ¿Cómo puedes tratarte esta patología?
¿Qué es la fascitis plantar?
La fascitis plantar es una patología bastante frecuente en la población deportista que se resumen como la inflamación de la fascia plantar. Suele producirse de forma habitual en runners, atletas, futbolistas… e incluso en personas que se están preparando las pruebas físicas de oposiciones. También puede aparecer a partir de los 45 años en personas que no practican deporte habitualmente.
Algunos estudios afirman que alrededor del 10% de la población puede llegar a padecer fascitis en algún momento de la vida.
Ver esta publicación en Instagram
La fascia plantar tiene una gran función biomecánica al caminar y, junto con otras estructuras del pie, es la responsable de:
- Mantener el arco plantar.
- Absorber y devolver la energía que se produce cuando el pie impacta contra el suelo.
- Proteger los metatarsianos, evitando un exceso de flexión dorsal de los dedos.
Por eso, una lesión de este tejido puede ocasionar una molestia notable en nuestro día a día.

¿Es más común en hombres o en mujeres?
Entre la población no deportista es algo más común en mujeres, mientras que en la población deportista ese porcentaje se iguala.
En la mujer existe una relación directa entre la fascitis plantar y el acortamiento de la musculatura posterior de la pierna. Cuanto mayor acortamiento, más posibilidades de que aparezca esta patología. El uso frecuente de tacones es una de las causas más comunes de acortamiento de la cadena posterior. Por ello, es muy importante alternar el calzado de tacón alto con zapatos más planos.

Después de muchos años de uso de zapato de tacón alto es recomendable intentar disminuir la altura de manera muy progresiva, pero nunca pasando drásticamente del uso de un tacón alto a uno plano. El aumento de tensión que se produciría al realizar este cambio brusco aumentaría exponencialmente las posibilidades de sufrir fascitis plantar, tendinitis de Aquiles, lumbalgias, etc.
Síntomas de fascitis plantar
El síntoma principal es un dolor agudo en la zona interna del talón (la zona de inserción de la fascia plantar). Ese dolor suele ser más intenso en los primeros pasos que damos al levantarnos. Con el reposo de la noche la fascia se acorta y. al dar los primeros pasos, tracciona con más fuerza. Una vez que hemos caminado un poco, la fascia se estira y suele disminuir la molestia.
En el caso de los deportistas, en las fases iniciales, el dolor sólo aparecerá por la mañana y después de hacer deporte. Cuando aparecen los primeros síntomas debemos empezar a tomar medidas porque existen posibilidades de que la fascitis se vaya agudizando y sea limitante para la vida deportiva e, incluso, para la vida normal.
Un dolor intenso en la zona del talón al levantarnos por la mañana es el principal síntoma de la fascitis plantar.

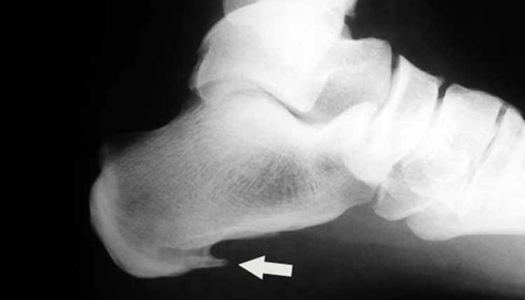
Diferencia entre fascitis plantar y el espolón calcáneo
En ocasiones se confunde la fascitis plantar con el espolón calcáneo. Podemos hablar de espolón cuando observamos una calcificación del tubérculo postero-medial del calcáneo en las pruebas radiológicas.
En esta radiografía se observa un “saliente puntiagudo” desde el talón hacia el interior del pie, indicando la patología de espolón calcáneo. Si en las pruebas no aparece dicha calcificación, se trata entonces de fascitis plantar.

Los síntomas y el tratamiento van a ser muy parecidos en ambos casos. El espolón aparece por mantener una tracción continuada de la fascia contra el calcáneo. Esa tensión aparece en la fase inicial la fascitis plantar, y si se mantiene en el tiempo, posiblemente generará el espolón calcáneo. El objetivo del tratamiento es “destensar” la fascia para que disminuya la inflamación y el dolor.
Es muy importante realizar el diagnóstico lo antes posible para obtener mejores resultados en el corto y medio plazo.
Se puede afirmar, aunque con algunos matices, que el espolón calcáneo es la continuación natural de una fascitis plantar mantenida en el tiempo.

¿El tipo de pisada influye?
La forma de pisar es una de las causas principales de la fascitis plantar. Los pacientes que presentan una mayor tendencia a la pronación (que la carga del pie se desplace hacia el lado interno) tienen mayores posibilidades de sufrir esta patología.
Los tipos de pies en los que más habitualmente nos vamos a encontrar las fascitis son:
- Los pies cavos (puente más elevado de lo normal).
- Los pies valgos (pies que tienden a desplomarse hacia el interior).

Aunque parezcan pies totalmente distintos, en ambos se produce una disminución del apoyo de la zona lateral externa, quedando la fascia en una situación de mayor tensión.
Conocer cómo es tu forma de pisar y llevar a cabo el tratamiento adecuado puede prevenir una fascitis plantar.
Tratamiento fascitis plantar
El tratamiento más habitual consiste en una combinación de medicación antiinflamatoria y diferentes tratamientos de fisioterapia orientados a disminuir la inflamación en la fase aguda.
En una segunda fase, que conviene iniciar lo antes posible, habría que realizar un correcto estudio biomecánico de la pisada para valorar si la causa de la fascitis tiene relación con la forma de pisar del paciente. En caso positivo, es necesario diseñar y fabricar unas plantillas personalizadas para esta patología que permitan “destensar” la fascia. Cuando la fase aguda esté superada el paciente podrá reiniciar la actividad con muchas menos posibilidades de recaída.
Una vez transcurrida la fase aguda, es muy importante que el paciente adopte unos hábitos correctos de estiramientos y un uso correcto de calzado a utilizar tanto para la vida normal como para la actividad deportiva.

¿Cómo solucionar la fascitis plantar?
A menudo, para resolver la fascitis plantar nos centramos más en los síntomas que en las causas. La inflamación, que es la causa del dolor, es posible tratarla de muchas formas, pero lo importante es tratar de disminuir la tensión generada en la fascia plantar.
En muchos casos, el aumento de la tensión generada en la fascia plantar se debe a la forma del pie, a la forma de pisar, o a ambos aspectos juntos. Si solamente tratamos la fase aguda de la fascitis, disminuyendo la inflamación de la inserción de la fascia, el paciente sólo mejorará hasta que retome su actividad física habitual.
Descubre tres ejercicios para fascitis plantar (liberación miofascial, estiramiento y fortalecimiento) para aliviar los síntomas sin salir de casa.
¿Existe posibilidad de sufrir de nuevo fascitis plantar?
Si no descubrimos y modificamos la causa que originó la primera fascitis plantar existen altas posibilidades de volver a padecerla. Es importante conocer el origen de las molestias, los factores que las causan y solucionar la patología desde el principio.

Existe una gran oferta de “estudios biomecánicos de la marcha”, pero no todos son lo mismo. Por ejemplo, el estudio que se realiza en una tienda de deporte está exclusivamente encaminado a asesorarnos sobre el tipo de zapatilla más indicada para nosotros, pero en ningún momento tiene validez clínica ni está orientado a relacionar nuestra forma de pisar con una lesión presente o futura.
A su vez, el técnico ortopeda de las ortopedias no está cualificado, ni técnica ni legalmente, para emitir ningún tipo de diagnóstico ni prescribir el uso plantillas. Su misión es fabricar un tratamiento siguiendo las instrucciones precisas de la receta emitida por un traumatólogo, podólogo, médico rehabilitador, etc.
Al igual que una plantilla bien indicada, diseñada y fabricada puede mejorar mucho nuestra calidad de vida, es importante saber que una plantilla no adecuada puede agravar la patología.
Por ello, desde las clínicas Podoactiva ponemos a disposición del paciente los medios y profesionales cualificados para poder emitir un diagnóstico correcto sobre su forma de pisar y el posible tratamiento.

¿Existe alguna novedad terapéutica para tratar la fascitis plantar?
La tecnología nos ofrece herramientas para mejorar el tratamiento, el diseño y la fabricación de plantillas personalizadas con alta precisión. Técnicas como la EPI o las ondas de choque han demostrado que pueden ser muy efectivas en el tratamiento de la fase aguda.
Por otro lado, la aplicación del plasma rico en plaquetas (PRP) -el uso de los factores de crecimiento de origen plasmático- ha demostrado su eficacia en la aceleración de la cicatrización y regeneración de los tejidos en el tratamiento de la fascitis plantar.

Respecto a las plantillas personalizadas, en Podoactiva hemos desarrollado sistemas como el 3D Scan Podoactiva, patentado a nivel mundial. Permite obtener un molde virtual del pie en 3D para fabricar una plantilla lo más adaptada posible a la fascia plantar en carga del paciente.
En definitiva, la fascitis plantar es una de las patologías más frecuentes que tratamos en consulta. Es muy importante conocer el motivo que causa esta patología, acudir a un podólogo especializado y aplicar el tratamiento adecuado.
En Podoactiva podemos ayudarte. Consulta tu clínica Podoactiva más cercana o contáctanos en el
974 231 280 o a través de info@podoactiva.com.
VÍCTOR ALFARO SANTAFÉ
Director General Podoactiva



Jose
Posted at 22:17h, 14 febreroHola tengo fascitis desde
Hola tengo fascitis desde hace 2 años e probado todo ahora estoy en mi mejor momento pero todavía siento la molestia utilizo plantillas pero aun me duele si pudiera decirme que hacer o ir a su consulta gracias
Vania mita
Posted at 19:32h, 20 diciembreBuenas tardes , tengo la sensación de hinchazón y tensión en los dedos , y cansancio, el espolón podría causar ese tipo de dolor?? O la fascistis plantar?
Podoactiva
Posted at 17:41h, 11 eneroBuenas tardes Vania. Si la tensión es en dicha zona, podría ser una metatarsalgia, es decir, una sobrecarga en los dedos de los pies. No obstante, es aconsejable que visite a un podólogo para realizar una valoración.
Si quiere, puede contactar con nosotros llamándonos al +34 974 231 280 o a través de WhatsApp en el número +34 635 368 675.
Muchas gracias y un saludo.
Nico
Posted at 08:48h, 27 febreroGracias Víctor. La
Gracias Víctor. La información me ha ayudado.
editor
Posted at 10:23h, 16 abrilHola amigo, puedes acudir a
Hola amigo, puedes acudir a cualquiera de nuestras clínicas donde estaremos encantados de ayudarte y tras realizarte un estudio biomecánico darte nuestra opinión. Un saludo y gracias por acudir a Podoactiva.
editor
Posted at 10:23h, 16 abrilGracias! Nos alegra que la
Gracias! Nos alegra que la información haya servido de ayuda, esa es nuestra intención con estos posts 🙂
javier
Posted at 14:44h, 21 abrilHola, tengo una chica k le
Hola, tengo una chica k le duele la planta dl pie a la altura dl 5 meta , esto es fascitis tambien????
editor
Posted at 17:00h, 04 mayoHola Javier, sería
Hola Javier, sería conveniente ver a esa chica en cualquiera de nuestras consultas para poder valorar la naturaleza del dolor. Estaremos encantados de ayudarte en cualquiera de nuestra clínicas. Un saludo.
antonia
Posted at 15:35h, 09 mayoTengo fascitis desde hace
Tengo fascitis desde hace 3meses que me a conseja que tengo que hacer porque es un dolor insoportable
Podoactiva
Posted at 09:16h, 31 marzoEn estadios iniciales se
En estadios iniciales se puede intentar relajar la fascia masajeándola con un rodillo o con una pelota, apoyando el pie sobre el mismo en el suelo, y realizando movimientos hacia delante y detrás, para intentar masajear la fascia. Se puede realizar con una botella de agua fría, para que actúe como antiinflamatorio natural.
Además se puede combinar con algún tipo de pomada antiinflamatoria y calzadoterapia: El calzado lo mejor es que tenga un poc de tacón, de 3 a 4 cm, para relajar el sistema aquíleo-calcáneo-plantar, y que la fascia soporte algo menos de tensión.
jose
Posted at 02:47h, 02 juliodonde encuentro una clinica
donde encuentro una clinica
Norma Cerero
Posted at 17:26h, 10 febreroBuenos dias! Llevo más de 3
Buenos dias! Llevo más de 3 meses con un dolor en el talón izquierdo, no solo al levantarme persiste todo el día. Dónde puedo pedir una cita para que me evaluen?
Gracias!
Jesus
Posted at 14:36h, 15 febreroMe duele la planta de los
Me duele la planta de los pies fue paulatino corria y por la noche camino mucho trabajo, es muy doloroso hay una clinica en Mexico?
Martin
Posted at 23:18h, 22 febreroTengo facitis desde ase in
Tengo facitis desde ase in Año y no epodido curare lo he intentdo todo y nda
Mariano Borbolla Mejia
Posted at 00:36h, 23 febreroQue recomiendan mas para la
Que recomiendan mas para la desinflamacion de la Fascitis Plantar ( aparte de medicinas )……Aplicaciones de El frio ( Hielo ) o aplicaciones de calor ( agua )
Gloria Llanos
Posted at 04:42h, 25 febrerodesde hace más o menos tres
desde hace más o menos tres meses me duele el talón izquierdo me estuve haciendo remedios naturales como emplastos de hierbas y otros tambén tomé algun desinflamante,pero hace cos meses y medio sufrí un resbalón del mismo pie que me hizo doler el centro del gluteo fui al tarumatologo y me dice que es ciatica y por eso me duele el talón mee mandó que me froten desde elglúteo yla parte posterior del muslo, eso me causó un dolor terrible pero el talón no mejora,yo vivo en Perú en provincia con qué especialista debo consultaar? teendre que viajar a un ciudad més grande pero qué busco? traumatólogo opodólogo.gracias
tomas martin perez
Posted at 12:02h, 26 febrerollevo varios meses con mucho
llevo varios meses con mucho dolor en la parte del talon del pie izquierdo. ma han diagnosticado fasciti plantar,.por favor necesito me orienten donde puedo acudir para sulucionar este problema. resido en jerez de la frontera
carlos
Posted at 18:26h, 28 febreroQUISIERASABER SI LA FALTA DE
QUISIERASABER SI LA FALTA DE SENSIBILIDAD DEL TERCERO Y CUARTO DEDO DEL PIE SEA CONSECYENCIA DE LA FASCITIS
Leslie
Posted at 04:16h, 04 marzoHola muchísimas gracias por
Hola muchísimas gracias por la información, es la segunda vez que me agarra y yo seguía ilusionada q ya se me había ido definitivamente, pero esta vez decido darle el tratamiento correspondiente y hacerme las plantillas y lo que haga falta. Soy de Buenos aires Capital federa.
Tienes algún colega acá o centro especializado que me puedas comentar?
Desde ya muchas gracias.
Luz González Rodríguez
Posted at 20:45h, 04 marzoHola. Quisiera ir a consulta.
Hola. Quisiera ir a consulta. Tengo 59 años. Vivo en Chalco edo. De México. Alguna sucursal en el d.f. O cercana? Gracias mil.
Podoactiva
Posted at 09:50h, 31 marzoBuenos días, acabamos de
Buenos días, acabamos de abrir nuestra sede Podoactiva México, en Puebla de Zaragoza. Aquí puede comprobar todos los datos de contacto http://www.podoactiva.com/es/clinicas-y-centros/clinica-innvo-puebla-de-zaragoza-mexico
Gloria Llanos
Posted at 03:14h, 07 marzohace tres meses tengo dolor
hace tres meses tengo dolor en el talón,vi dos traumatólogos,uno me recetó orfenadrina pues dijo que yo tenía ciatica,el otro me recetó unas plantillas y arcoxia de 90mg por 8 días y estuve muy bien, pero el dolor me ha vuelto,cuanto tiempo puedo tomar la arcoxia que es lo que me quitó el dolor, tengo 71 años y soy diabética
masajes en Madrid
Posted at 13:38h, 08 marzoMe apunto muchos de los
Me apunto muchos de los consejos que has dado porque es algo que no tenía el placer de conocer y así poder practicar en caso de que venga algún cliente con este mal, gracias!
http://boracaymasajesmadrid.es
fernando martin santos
Posted at 20:42h, 09 marzome gustaria saber que
me gustaria saber que clinicas podologicas tienen concierto con Asisa. Tengo fascitis plantar.
Podoactiva
Posted at 09:51h, 31 marzoBuenos días, para saber las
Buenos días, para saber las clínicas adscritar con su aseguradora debe gestinarlo directamente con la compañía. Un saludo
luis
Posted at 13:44h, 12 marzoBuenos días,
Buenos días,
Tengo bastantes molestias en la planta el pie cundo llevo aproximadamente 10 minutos caminando, utilizo plantillas de todos los tipos, pero no conisigen encontrar la solucion.Realmente tiene esta enfermedad solución. Mi madre tenia este problema y ahora la comprendo.
Muchas gracias
Saludos
Podoactiva
Posted at 10:04h, 31 marzoBuenos días, nuestra
Buenos días, nuestra recomendación es el uso de unas únicas plantillas personalizadas. La solución es buscar el origen del dolor y saber por qué se produce. Si no lo ha hecho le recomendamos realizarse un estudio biomecánico de la pisada. Puede solicitar más información en info@podoactiva.com o llamando al 902 365 099
m.angeles
Posted at 00:38h, 13 marzoBuenas. Mi medico de cabezera
Buenas. Mi medico de cabezera me a diagnósticado fasditis plan tal.pero ya hace 5meses que la sufro.y tengo unos dolores terribles sobre todo después de la jornada de trabajo.y al levantarme en la mañana.me mando unas plantillas de descarga y antiflamatorio pero no me son echo nada ahora me van a hacer radiografías y de hay a. Rehabilitación mientras que me llaman de la seguridad social que me aconseja?.estoy desesperada y lo peor es que sigo trabajando.como ve usted las infiltraciones? Mi médico dice que duele mucho. Un saludo gracias
Podoactiva
Posted at 10:05h, 31 marzoEn estadios iniciales se
En estadios iniciales se puede intentar relajar la fascia masajeándola con un rodillo o con una pelota, apoyando el pie sobre el mismo en el suelo, y realizando movimientos hacia delante y detrás, para intentar masajear la fascia. Se puede realizar con una botella de agua fría, para que actúe como antiinflamatorio natural.
Además se puede combinar con algún tipo de pomada antiinflamatoria y calzadoterapia: El calzado lo mejor es que tenga un poc de tacón, de 3 a 4 cm, para relajar el sistema aquíleo-calcáneo-plantar, y que la fascia soporte algo menos de tensión.
Si todas esta medidas no son eficaces, los posibles tratamientos son:
-Estudio biomecánico de la marcha (y carrera), para ver si la pisada es el factor causante (99% de los casos, lo es)
-Fisioterapia y rehabilitación.
-Infiltración mediante diferentes preparados (cortisona, anestésicos,…)
-En última instancia se puede valorar la cirugía, aunque es para caso muy cronificados y sin respuesta a los demás tratamientos.
Alba
Posted at 22:59h, 14 marzoHola,tengo 24 años y desde
Hola,tengo 24 años y desde los 16 sufro de dolor en las plantas de los pies,he usado plantillas y tal y me alivia pero no del todo y varias cosas,y hoy mi masajista me ha dicho que lo que tengo es fascitis,como podría hacer para que no me duela más?
Podoactiva
Posted at 10:06h, 31 marzoEn estadios iniciales se
En estadios iniciales se puede intentar relajar la fascia masajeándola con un rodillo o con una pelota, apoyando el pie sobre el mismo en el suelo, y realizando movimientos hacia delante y detrás, para intentar masajear la fascia. Se puede realizar con una botella de agua fría, para que actúe como antiinflamatorio natural.
Además se puede combinar con algún tipo de pomada antiinflamatoria y calzadoterapia: El calzado lo mejor es que tenga un poc de tacón, de 3 a 4 cm, para relajar el sistema aquíleo-calcáneo-plantar, y que la fascia soporte algo menos de tensión.
Si todas esta medidas no son eficaces, los posibles tratamientos son:
-Estudio biomecánico de la marcha (y carrera), para ver si la pisada es el factor causante (99% de los casos, lo es)
-Fisioterapia y rehabilitación.
-Infiltración mediante diferentes preparados (cortisona, anestésicos,…)
-En última instancia se puede valorar la cirugía, aunque es para caso muy cronificados y sin respuesta a los demás tratamientos.
Puede pedir más información a través del correo info@podoactiva.com o llamando al 902 365 099
Ignacio
Posted at 23:29h, 14 marzoBuenos dias llevo añi i medio
Buenos dias llevo añi i medio con fascitis, 3 infiltraciones llevo plantillas hechas con molde – espuma, pero sigo cin el problema . Tienen utds clinica en Barcelona ? Agradeceria nucho su respuesta. Gracias.
Podoactiva
Posted at 10:14h, 31 marzoBuenos días, en Barcelona
Buenos días, en Barcelona contamos con varias clínicas, como la de Podoactiva Élite Barcelona. En el siguiente enlace puede encontrar todos los datos de contacto http://www.podoactiva.com/es/clinicas-y-centros/sede-podoactiva-barcelona
Ignacio cruañas dalmau
Posted at 23:32h, 14 marzoNecesitaria hacerme las
Necesitaria hacerme las pruebas pertinentes
Sebastian
Posted at 13:51h, 18 marzoBuenas, recuerdo que me solía
Buenas, recuerdo que me solía doler el talón tras largos restos estando de pie con un calzado rígido, o al estar apoyado en la pared también me dolían los talones. Últimamente vengo haciendo trabajo de levantar peso y hay dias que al amanecer siento como que mis pies estuvieran inchados y una sensación a querer estirarlos y dejar que se relajen… Que dejó hacer? Ah, suelo pasar todo el dia con “chanclas”
lida soriano bernardini
Posted at 23:00h, 19 marzolei sobre Fascitis Plantar yo
lei sobre Fascitis Plantar yo tengo esto muy doloroso me dijeron varices cada dia me duele mas vivo en Peru no puedo caminar a que medico puedo acudir que examenes me tengo que hacer
Podoactiva
Posted at 09:48h, 31 marzoBuenos días, En estadios
Buenos días, En estadios iniciales se puede intentar relajar la fascia masajeándola con un rodillo o con una pelota, apoyando el pie sobre el mismo en el suelo, y realizando movimientos hacia delante y detrás, para intentar masajear la fascia. Se puede realizar con una botella de agua fría, para que actúe como antiinflamatorio natural. Además se puede combinar con algún tipo de pomada antiinflamatoria y calzadoterapia: El calzado lo mejor es que tenga un poc de tacón, de 3 a 4 cm, para relajar el sistema aquíleo-calcáneo-plantar, y que la fascia soporte algo menos de tensión.
Si todas esta medidas no son eficaces, los posibles tratamientos son:
-Estudio biomecánico de la marcha (y carrera), para ver si la pisada es el factor causante (99% de los casos, lo es)
-Fisioterapia y rehabilitación. Le recomendamos realizarse un estudio biomecanico, puede solicitar más información en info@podoactiva.com o llamar al 902 365 099
lida soriano bernardini
Posted at 23:04h, 19 marzome han visto muchos medicos
me han visto muchos medicos pero ninguno dio con lo que tengo lei este articulo y se que lo que tengo esFascitis Plantar estoy muy adolorida no puedo caminar cual e tratamiento
Podoactiva
Posted at 09:28h, 31 marzoBuenos días, En estadios
Buenos días, En estadios iniciales se puede intentar relajar la fascia masajeándola con un rodillo o con una pelota, apoyando el pie sobre el mismo en el suelo, y realizando movimientos hacia delante y detrás, para intentar masajear la fascia. Se puede realizar con una botella de agua fría, para que actúe como antiinflamatorio natural.
Además se puede combinar con algún tipo de pomada antiinflamatoria y calzadoterapia: El calzado lo mejor es que tenga un poc de tacón, de 3 a 4 cm, para relajar el sistema aquíleo-calcáneo-plantar, y que la fascia soporte algo menos de tensión. Si todas esta medidas no son eficaces, los posibles tratamientos son:
-Estudio biomecánico de la marcha (y carrera), para ver si la pisada es el factor causante (99% de los casos, lo es)
-Fisioterapia y rehabilitación.
LKe recomendamos realizarse un estudio biomecanico, puede solicitar más información en info@podoactiva.com o llmar al 902 365 099
Beatríz amezcua
Posted at 17:17h, 22 marzoEs raro a mi me duele cuando
Es raro a mi me duele cuando ago alguna actividad física; casi en el arco del pie. Es lo mismo?
Podoactiva
Posted at 09:27h, 31 marzoSi que puede tratarse de la
Si que puede tratarse de la misma patología. En estadios iniciales se puede intentar relajar la fascia masajeándola con un rodillo o con una pelota, apoyando el pie sobre el mismo en el suelo, y realizando movimientos hacia delante y detrás, para intentar masajear la fascia. Se puede realizar con una botella de agua fría, para que actúe como antiinflamatorio natural.
Además se puede combinar con algún tipo de pomada antiinflamatoria y calzadoterapia: El calzado lo mejor es que tenga un poc de tacón, de 3 a 4 cm, para relajar el sistema aquíleo-calcáneo-plantar, y que la fascia soporte algo menos de tensión.
De todas formas le recomendamos acudir al podólogo para realizarse un estudio biomecánico y descartar cualquier otra potología. Se lo recomendamos mucho más tratándose de una persona deportista, ya que es un gesto que va a realizar miles de veces y cualquier pequeño defecto puede provocar una lesión. Un saludo
Mara C Suarez
Posted at 21:51h, 23 marzolTengo todos los sintomas de
Tengo todos los sintomas de fascitis plantar, mi pregunta es debp pedir cita a un Podólogo o un medico Fiosterapeuta especializado en talon. muchas gracias
Podoactiva
Posted at 09:42h, 31 marzoLe recomendamos realizarse un
Le recomendamos realizarse un estudio biomecánico de la marcha (y carrera), para ver si la pisada es el factor causante (en el 99% de los casos, lo es). Puede combinar el tratamiento con Fisioterapia y rehabilitación. Para más ifnormación envío un correo a info@podoactiva.com o llame al 902 365 099
Aranzazu9
Posted at 20:49h, 24 marzoLa fascitis plantar puede
La fascitis plantar puede provocar un dolor como si te clavaran una aguja caliente en la parte anterior del puente del pie?
Podoactiva
Posted at 09:46h, 31 marzoBuenos días, sí que se puede
Buenos días, sí que se puede asemejar a ese dolor, de todas formas lo mejor que puede hacer es realizarse un estudio biomecánico de la pisada y la carrera para comprobar si la forma de pisar es la causante del dolor. Para más información puede enviar un correo al info@podoactiva.com o llamar al 902 365 099 Un saludo
JUAN CARLOS RODRIGUEZ FLORES
Posted at 02:46h, 31 marzonececito una clinica para
nececito una clinica para sacar cita, nececito me valoren.
gracias
Podoactiva
Posted at 09:19h, 31 marzoPuede comprobar nuestra red
Puede comprobar nuestra red de clínicas en el siguiente enlace: http://www.podoactiva.com/es/clinicas-y-centros Envíe un correo a info@podoactiva.com o llame al 902 365 099 Un saludo
alejandro vargas
Posted at 04:51h, 31 marzoBuenaa noches. Hola llevo mas
Buenaa noches. Hola llevo mas de 3 años con un dolor terrible en la planta del pie y en los dedos anular y mañique que no me aguanto de pie cuando lo tengo. Por favor quw hago. Gracias
Podoactiva
Posted at 09:22h, 31 marzoBuenos días , le recomendamos
Buenos días , le recomendamos realizarse un estudio biomecánico para aclarar las causas del dolor de pie, y descartar cualquier patología. En Podoactiva puede enviar un correo a info@podoactiva.com o llamar al 974 231 280 para más información no dude en contactar con nosotros. Un saludo
JUANJO BLASCO
Posted at 13:21h, 31 marzoPractico tenis, nado y bailo,
Practico tenis, nado y bailo, ya tengo 80 años, pareo me encuentro en relativa buena forma física. hace unos días, me ha aparecido un fuerte dolor al caminar, en la parte del puente, interior, cecina al talón.. por los síntomas, parece que podría ser FASCIA PLANTAR.
Como puedo reducir el dolor, que casi no me deja caminar. vivo en MARBELLA.
Podoactiva
Posted at 11:50h, 01 abrilBuenos días, Juanjo
Buenos días, Juanjo
En estadios iniciales se puede intentar relajar la fascia masajeándola con un rodillo o con una pelota, apoyando el pie sobre el mismo en el suelo, y realizando movimientos hacia delante y detrás, para intentar masajear la fascia. Se puede realizar con una botella de agua fría, para que actúe como antiinflamatorio natural.
Además se puede combinar con algún tipo de pomada antiinflamatoria y calzadoterapia: El calzado lo mejor es que tenga un poc de tacón, de 3 a 4 cm, para relajar el sistema aquíleo-calcáneo-plantar, y que la fascia soporte algo menos de tensión.
Jorge e ojeda g
Posted at 15:49h, 31 marzoQue buena informacion,
Que buena informacion, bastante agradecido, conoces una clinica buena en Colombia, he buscado y nuestras EPS, no han podido entender lo grabe que es para un paciente.
Solange
Posted at 05:20h, 01 abrilYo tengo fascitis plantar
Yo tengo fascitis plantar como 7 meses me han hecho masaje ejercicios con pelota botella. Inyecciones pastillas antiinflamatorias pero sigo con el dolor igual insoportable no se que mas hacer ojala puedan ayudarme
Podoactiva
Posted at 11:40h, 01 abrilBuenos días, Solange Quzá el
Buenos días, Solange Quzá el problema de la fascitis plantar esté producida por un problema biomecánico. Nuestra recomendación es que se realice un estudio biomecánico de la pisada para saber si el problema es ese, o buscar otra solución para el problema. Un saludo
Rosibel
Posted at 06:43h, 11 abrilTengo un dolor muy feo en la
Tengo un dolor muy feo en la planta del pie pero también m duele a al lado d mi dedo meñique la parte superior y me cuesta mucho caminar aun mas por las mañanas
Podoactiva
Posted at 09:02h, 11 abrilBuenos días, Rosibel, Lo más
Buenos días, Rosibel, Lo más conveniente es que te realices un estudio biomecánico. A través de nuestra página web puedes ver toda nuestra red de clínicas. Puedes enviar un email al correo info@podoactiva.com con tus dudas y la población donde vives para que puedan orientarte sobre la clínica más cercana a tu domicilio. Puedes llamar al 902 365 099 para más información. Muchas gracias y un saludo.
Jose
Posted at 21:53h, 01 noviembreGracias por n/informacion.
Gracias por n/informacion. Seguramente me va a servir. Todo excelente.
estela maris
Posted at 20:54h, 30 noviembreHola tengo 46 años, hace 30
Hola tengo 46 años, hace 30 que uso plantillas, tengo pie plano y cavo ( fue lo último que me diagnosticó un reumatólogo), y me indico plantillas. Tengo muy vencidos los pies hacia adentro y mucho dolor en los empeines, eso también es fascitis plantar ????. cada vez me cuesta más caminar. por favor ayuda.
Podoactiva
Posted at 09:28h, 01 diciembreBuenos días Estela, lo más
Buenos días Estela, lo más conveniente sería realizar un estudio biomecánico de la pisada para diagnosticar tu caso y el posible uso de plantillas personalizadas que se adapten perfectamente a tus necesidades. En este enlace puedes ver toda nuestra red de clínicas para localizar, en caso de que lo desees, tu centro más cercano: http://www.podoactiva.com/es/clinicas-y-centros También puedes enviar un email al correo info@podoactiva.com o llamar al 974 231 280. Muchas gracias por contactar con nosotros, un saludo.
Julio Rivera Laita
Posted at 13:00h, 28 eneroSoy un caminante activo…es
Soy un caminante activo…es posible que como consecuencia de ello, me haya aparecido, una fascitis plantar. Estoy muy molesto y por ello he acudido a un podólogo que me ha prescrito antinflamatorios …”AINOIK”, estiramientos…y a essperar….¿ que puedo hacer ?….
Podoactiva
Posted at 11:19h, 30 eneroBuenos días Julio. Nuestros
Buenos días Julio. Nuestros especialistas nos comentan que los antiinflamatorios son una primera opción para ver si hay mejora, pero si el problema viene de largo y tienes una pisada patológica habría que corregirla. El podólogo debería haberte realizado un estudio biomecánico de la pisada y decidir si es conveniente o no el uso de plantillas personalizadas.
Te dejamos en este enlace nuestra red de clínicas por si quieres contactar con tu centro más cercano y pedir información o realizar un estudio biomecánico de la pisada: http://www.podoactiva.com/es/clinicas-y-centros Gracias por escribirnos. Un saludo.
yolanda garcia
Posted at 22:57h, 02 septiembreMuchas gracias por la buena
Muchas gracias por la buena informacion sobre este tema
lo pondre en practica saludos
Elisa
Posted at 13:58h, 22 septiembreDonde se encuentran ubicados,
Donde se encuentran ubicados, me parece muy util y completa su informacion pero me gustaria acudir a consulta.
Podoactiva
Posted at 15:02h, 22 septiembreBuenas tardes Elisa. Estamos
Buenas tardes Elisa. Estamos presentes en varios centros por toda España. Para localizar su clínica más cercana y la información de contacto (dirección, email, teléfono…) puede hacerlo en el siguiente enlace, donde encontrará un mapa con todas las clínicas: https://goo.gl/4H2V0d Cualquier pregunta no dude en escribirnos a info@podoactiva.com o llamarnos al 902 365 099. Un saludo.
cristina Pereira Robles
Posted at 02:31h, 05 noviembreTengo fascitis plantar hace
Tengo fascitis plantar hace tres meses. Acudí a un traumatólogo, el cual me recetó hacerme plantillas. En las mañanas las puedo usar un poco, pero por las tardes me duele demasiado mi pie con fascitis. Hasta el momento sigo igual y las plantillas no me han mejorado. Mi pregunta es, si algún día mejoraré y si mi pie se adaptará a las plantillas. Lamentablemente estoy muy lejos para asistir a su clínica.
Gracias.
Podoactiva
Posted at 13:06h, 16 noviembreBuenas Cristina. Deberías de
Buenas Cristina. Deberías de poder tolerar las plantillas todo el día. Te recomendamos acudir al podólogo especializado en biomecánica para ajustar de tal manera las plantillas para que puedas tolerar llevarlas durante todo el día. Aprovechamos también para compartir una serie de ejercicios que puedes hacer para mejorar la fascitis plantar: https://www.youtube.com/watch?v=O2w2PejiqQ0
Si lo deseas puede encontrarnos en diferentes clínicas repartidas por España. En este enlace encontrarás todas los centros: https://goo.gl/JUcEYG Un saludo.
ALBERTO
Posted at 17:57h, 22 noviembreHola. segun el traumatologo,
Hola. segun el traumatologo, padezco de fascitis plantar. Me hicieron RX y Ecografia y me recetaron antiinflamatorios y una plantilla personalizada. En realidad el dolor mas intenso lo tengo en la planta del pié, en la zona de los matatarsos, al lado de los dedos. Hay dias que no siento dolor pero cuanto aparece es muy molesto y me pone de muy mal humor y que me impide desplazarme. ¿Puede haber estado equivocado el diagnostico? Muchas Gracias.
Podoactiva
Posted at 11:05h, 04 diciembreBuenos días Alberto, el tipo
Buenos días Alberto, el tipo de molestia de la que hablas no siempre es sensible a las pruebas de radiografía y ecografía. Con un estudio biomecánico podemos estudiar la mecánica del pie y ver si hay alguna causa mecánica que está causando este dolor en la zona metatarsal. Muchas gracias y un saludo.
victor hugo yañez espinoza
Posted at 22:49h, 27 noviembreGracias, al fin descubri lo
Gracias, al fin descubri lo que tengo hace meses. Sufro del dolor al levantarme y no sabia que era, ahora acudire a un podologo para un tratamiento. Gracias de nunevo
Jenny
Posted at 21:05h, 15 diciembreExcelente información, muchas
Excelente información, muchas gracias
esther gallego
Posted at 12:53h, 12 juniohola muy buenas:
hola muy buenas:
mi caso es que sufro de una fascia plantar desde octubre del 2016,me diagnosticaron una facsia plantar en ambos pies y con espolones en cada uno,me mandaron rehabilitacion e infiltaciones 2 y nada la cosa no mejoraba plantillas ejercicion nada,en mayo del 2017 me opreran de la fascia y el espolon del pie izquierdo,me operan percutanea y me alargan el gemelo,despues de la opreacion sigo en rehabilitacion nada no encuentro mejoria y me vuelven a infiltrar en agosto me mandan hacer una reso que hay hematoma en el calcaneo,vale sigo rehabilitacion y la fascia esta aun inflanmada me mandan sesiones 5 de ondas de choque una semanalmente,y nada el dolor insoportable ,a eso que el pie derecho me duele a rabiar,bueno en enero me vuelven hacer una reso x que no es normal que me siga doliendo,me sale que tengo un engrosamieto de la fascia y el nervio baxter atrapado,me operan del nervio baxter, en abril del 2018 a dia de hou 12 de junio del 2018 aun tengo la fascia inflmada y con dolor a la palpacion y me dicen de volverve a infiltrar, y a mi las infiltraciones no me hacen nada que hago aguamtarme el dolor de pies de por vida,soy joven tengo 41 años y estoy muy desmoralizada.
gracias
Podoactiva
Posted at 09:20h, 14 junioBuenos días Esther. Por lo
Buenos días Esther. Por lo que vemos, se le han realizado varios tratamientos que no han sido efectivos. Desde Podoactiva podemos verle para realizarle un estudio biomecánico de la pisada e intentar buscar una solución que le pueda ayudar, aunque por lo que comenta parece un caso complicado. Si lo desea, puede encontrar su clínica Podoactiva más cercana y la información de contacto en el siguiente enlace: https://goo.gl/4H2V0d. Un saludo.
JUAN CARLOS MENDEZ O
Posted at 02:50h, 14 junioOK ,BUENAS TARDES TENGO DOLOR
OK ,BUENAS TARDES TENGO DOLOR EN EL METATARSO PIE IZ ESTO NO ME DEJA APOYARME CON FIRMESA CUANDO ESTOY CORRIENDO NO SIENTO DOLOR SOLO MOLESTIA ESTO ES TAMBIEN SE DENOMINA COMO UNA FACITIS PLANTAR
Podoactiva
Posted at 09:13h, 14 junioBuenos días Juan Carlos. Para
Buenos días Juan Carlos. Para localizar el origen del dolor que sufre y diagnosticar un tratamiento adecuado, sería necesario que uno de nuestros profesionales viera su caso en consulta. Si lo desea, puede encontrar su clínica Podoactiva más cercana y la información de contacto en el siguiente enlace: https://goo.gl/4H2V0d. Un saludo.
isaac ricardo ramos pacherres
Posted at 16:46h, 12 septiembreGracias por la información
Gracias por la información excelente.
adriana zuñiga diaz
Posted at 14:50h, 05 noviembrellevo 6 meses con una
llevo 6 meses con una facitis plantar actualmente estoy con sec. de kine y la verdad no hay mucho avance y el dolor es muy fuerte tengo 59 años a un trabajando y mi trabajo es caminar todo el dia abrabra algo que me pueda alludar
Podoactiva
Posted at 10:32h, 06 noviembreBuenos días Adriana. Para
Buenos días Adriana. Para diagnosticar y tratar la fascitis plantar que nos comenta sería recomendable que uno de nuestros profesionales viera su caso en consulta. Si lo desea, puede localizar su clínica Podoactiva más cercana y la información de contacto en el siguiente enlace: https://goo.gl/4H2V0d. Tal y como indicamos en este artículo del blog, las plantillas personalizadas Podoactiva le ayudarán a aliviar esta patología. Un saludo.
VERONICA PEREZ
Posted at 19:15h, 05 noviembreHola,
Hola,
Me podrías informar si tienen clínicas en México?
O alguien que me recomiendes en mi país para tratar la fascitis plantar?
Muchas gracias y saludos.
Podoactiva
Posted at 10:30h, 06 noviembreBuenos días Verónica. En
Buenos días Verónica. En México nos puede encontrar en Clínica INNVO Puebla de Zaragoza (https://goo.gl/QyV6Zv) y Unidad Médica de Pediatría Niño Jesús en Tehuacán (https://goo.gl/KVr72b). En los enlaces anteriores encontrará la dirección e información de contacto de ambos centros. Un saludo.
ELIANET
Posted at 21:34h, 17 eneroBuenas, hace casi dos meses
Buenas, hace casi dos meses senti molestias (no dolor) en mi pie derecho, sentia hormigueos y sensación de puyas al caminar, al observar que el talon estaba inflamado decidi quedarme en cama, sin embargo continue igual a los trece días acudi al medico general me ordeno un RX, me dijo que el hueso estaba bien pero por la inflamación tenia fascitis plantar. me ordeno 3 diclofenaco intramuscular, transcurridos 18 días seguía igual acudí al medico nuevamente y me ordeno dos inyecciones de vitaminas B1, B6 y B12, ademas de revisión por fisioterapia- no he asistido a la primera cita. Esta situación me tiene preocupada, pues ahora el talon se ha desinflamado, el hormigueo y la senciblidad han desaparecido, pero tengo sencible la curva del pie y los dedos inflamados, aclaro nunca he tenido dolor, agradezco su orientación.
Podoactiva
Posted at 12:13h, 18 eneroBuenos días Elianet. Por todo lo que nos comenta, lo recomendable sería que le viéramos en consulta para hacerle un diagnóstico más preciso. En el caso de que se trate de fascitis plantar, las plantillas personalizadas Podoactiva le ayudarán a aliviar las molestias que causa esta patología. A su vez, nuestros especialistas le explicarán una serie de ejercicios y hábitos a tener en cuenta (en el caso de que sean necesarios). Si lo desea, en el enlace que le ponemos a continuación hay un mapa donde puede encontrar su clínica Podoactiva más cercana, así como toda la información de contacto de cada una: https://goo.gl/GP8Lsj. Un saludo.
Joel Melara
Posted at 17:25h, 22 enerotengo dolor en ambos talones
tengo dolor en ambos talones de hace ya 6 años pero ahora mismo se me ha vuelto demasiado crónico e insoportable. Puede ser fascitis plantar? lo digo por el tiempo que lelvo con el dolor???.. o podria ser el sindrome de baxter? q me aconsejan; ya probe de todo medicamento e incluso me han inyectado esteroides de deposito y no me ha sido efectivo
Podoactiva
Posted at 13:18h, 23 eneroBuenos días Joel. Lo
Buenos días Joel. Lo recomendable sería que le viéramos en consulta para hacerle un diagnóstico más preciso, así como un estudio biomecánico de la pisada. En el caso de que se trate de fascitis plantar, las plantillas personalizadas Podoactiva le ayudarán a aliviar las molestias que causa esta patología. A su vez, nuestros especialistas le explicarán una serie de ejercicios y hábitos a tener en cuenta (en el caso de que sean necesarios). Si lo desea, en el enlace que le ponemos a continuación hay un mapa donde puede encontrar su clínica Podoactiva más cercana, así como toda la información de contacto de cada una: https://goo.gl/GP8Lsj. Un saludo.
Raul
Posted at 18:57h, 22 eneroBuenas tardes, sufría de
Buenas tardes, sufría de fascitis plantar desde hace varios años, y he de reconocer que en http://www.podoactva.com he encontrado la más completa información, y gracias a las plantillas para la fascitis personalizadas, me he recuperado! Solo pasaba para daros las gracias.
Podoactiva
Posted at 10:17h, 23 eneroMuchas gracias por su mensaje
Muchas gracias por su mensaje Raul. Para Podoactiva es un placer saber que las plantillas personalizadas le han ayudado en su fascitis plantar. Un saludo.
Fidela Gudino
Posted at 13:00h, 05 mayoBuenos dias, llegué a este
Buenos dias, llegué a este sitio porque recién comencé con un dolor agudo en mi talón; dados mis sintomas pareciera ser fascitis plantar. Tengo dos preguntas: en el caso de fascitis plantar puede doler de repente tambien la pierna?? o no hay relación y se trate de otra cosa.. Aunque de verdad todo indica que es facitis plantar lo que tengo; la otra pregunta es: tienen alguna clinica en Estados Unidos ?? Yo vivo en Carolina del Norte. . Muchas gracias y Dios le bendiga
Podoactiva
Posted at 17:01h, 05 mayoBuenas tardes Fidela. Sí,
Buenas tardes Fidela. Sí, podría darse sobretodo en el tendón de Aquiles y gemelos. Lamentablemente en EEUU no tenemos clínica Podoactiva. Si alguna vez visita España, no dude en visitarnos. Un saludo.
Jorge
Posted at 03:59h, 30 abrilHola, es común que empiecen la fascitis plantar en ambos pies a la vez?? Llevo 1 mes con dolor en los talones.
Podoactiva
Posted at 11:06h, 17 mayoBuenos días Jorge. Muchas gracias por su interés. No es muy común que la fascitis se de en los dos pies a la vez, pero quizá puede haber algún caso. Lo ideal es que visite a un especialista en consulta.
Si quiere, puede contactar con nosotros llamándonos al +34 974 231 280 o a través de WhatsApp en el número +34 635 368 675.
Muchas gracias y un saludo.
MAURICIO BELALCAZAR
Posted at 19:19h, 13 mayoBuenas tardes, tengo masas en los pies, una en cada pie, en la parte del empeine, me dijeron que es fascitis plantar, estoy en terapias pero aun no se me reducen esas masas, que puedo hacer, muchas gracias
Podoactiva
Posted at 11:00h, 17 mayoBuenos días Mauricio. Muchas gracias por su interés. Le aconsejamos que no deje pasar el tiempo y acuda lo antes posible a un especialista. Es importante que el experto le vea en consulta. Si quiere, puede contactar con nosotros llamándonos al +34 974 231 280 o a través de WhatsApp en el número +34 635 368 675.
Muchas gracias y un saludo.